Originally published on April 16th, 2024. Updated on May 30, 2025.
Breaking Stereotypes: Why Composite Veneers Excel over Porcelain Contrary to Popular Belief!
In the realm of cosmetic dentistry, the debate between porcelain veneers vs composite veneers has been ongoing.
While porcelain veneers have long been considered the gold standard, advancements in composite materials have challenged this notion.

Beware of the appeal of porcelain veneers favored by celebrities, as they often result in the “Fake look”.
Celebrities like Hilary Duff, Nicholas Cage, Taylor Swift,Carl Radke, and Miley Cyrus have undergone multiple revisions and redo procedures.
Are they truly satisfied, considering the need for these re-dos?
This article explores the advantages of composite veneers over their porcelain laminates, arguing for their superiority in various aspects of dental aesthetics and functionality.
Get ready to redefine standards and brace yourself to shatter this stereotype!

Composite vs Porcelain Veneers
Composite Veneers
Composite veneers are crafted from a tooth-colored resin material, directly applied to the teeth and sculpted to the desired shape. They are layered onto the tooth, typically involving little to no etching.
Often completed in a single office visit, they are skillfully administered by cosmetic dentists trained in resin application for those seeking cosmetic dental enhancements.
We also have an NEW updated guide HERE on composites that breaks down the difference between composite bonding and composite veneers, explains direct versus indirect composite bonding, and highlights the benefits of enhanced composite resin veneers, a premium in-mouth technique that rivals porcelain without harming your natural teeth
Porcelain Veneers
Porcelain veneers are somewhat thin shells of porcelain that cover the front surface of teeth, extending underneath and wrapping around the back of the tooth by at least 20%, which is contrary to common patient beliefs and what dentists often communicate to patients which is “Just covering the surface or front of the tooth”


Porcelain veneers involve the shaving down of enamel (outer portion of the teeth) using a drill, and this process is permanent and irreversible.
Porcelain are similar to composite in that they can address various dental issues like discoloration, gaps, chips, and misalignment.
For a complete guide on porcelain veneers, check out Your Ultimate Q&A Guide to the Top 10 Questions About Porcelain Veneers!
Advantages of Composite Veneers
Before we compare composite veneers to porcelain veneers in detail, let’s first clarify the distinction between composite bonding and composite veneers!
In the context of this article, composite bonding refers to the application of tooth-colored composite resin that covers only part of the tooth, while composite veneers typically encompass the entire tooth surface.
Although we’ll use these terms interchangeably, it’s crucial to understand the difference. Furthermore, our focus is on direct composite veneers, which are performed directly in the mouth by the dentist. Now, let’s make the case for composite veneers!
Aesthetics, Natural Appearance, & Flexibility in Color Matching
Composite veneers offer significant advantages in mimicking the natural appearance of teeth and providing unmatched flexibility in color matching.
Unlike porcelain veneers, which are fabricated in a lab and rely on a ceramist to match colors based on photos, composite veneers are created directly by the dentist in the office.

This allows the dentist to act as a trained artist, mixing resin blends right in front of you to match the color of your natural teeth precisely.
Additionally, the dentist can use different resin colors for each tooth and blend different shades to achieve a seamless and entirely personalized smile
Minimal Tooth Reduction and Maintainability
In terms of preserving natural tooth enamel, composite veneers provide a notable advantage over porcelain.
In contrast, porcelain veneers, which frequently require substantial tooth reduction to fit their thickness, composite veneers can be applied with minimal alteration to the natural tooth structure.
This minimal tooth alteration guarantees the preservation of more original tooth enamel, thus maintaining the integrity of the natural teeth.

Additionally, certain cosmetic dentists provide zero-invasive composite veneers, requiring no removal of tooth enamel during application.

This contrasts sharply with porcelain veneers, which typically require significant enamel removal, leading to irreversible changes in the tooth structure.

By opting for composite veneers, patients can retain their natural tooth enamel while still achieving a beautiful smile.
What about no prep porcelain veneers?
The concept of “no-prep” veneers is often impractical, as they frequently result in a bulky and elongated appearance that can affect speech and chewing function.
While some individuals may attempt this approach, the outcomes are typically unsatisfactory, and upon removal, the bonded cement can still damage the natural tooth.
Although “no-prep” porcelain veneers are an option, only around 5-10% of patients are suitable candidates for this procedure.
In other instances, patients may believe they are receiving a “no-prep” treatment when, in reality, the dentist might still etch the tooth, referred to as “near prep.”
Again, the results are often disappointing, and the bonded cement can still cause harm upon removal.
Completely reverting teeth to their pre-“no-prep” procedure condition, and achieving a fully restored state, is exceedingly challenging and often irreversible.
Cosmetic dentists have not provided explanations or evidence on accomplishing this restoration, and based on patient testimonials, when asked, cosmetic dentists usually indicate that no patients have shown a desire to return to their original teeth.
However, this topic continues to be debated. If they indeed have evidence, then hats off to them! That’s noteworthy, so be sure to conduct thorough research.
So do porcelain veneers require shaving teeth? In nearly all cases, the answer is yes!
Repairability
The repairability of composite veneers makes them a preferable choice over porcelain for fixing cracks and chips.
Unlike porcelain, which necessitates sending back to the lab for repairs, composite veneers can be promptly fixed by the dentist on-site in a single visit. Imagine if multiple veneers get chipped – it’s convenient to address them immediately!
Another overlooked factor is that most cosmetic dentists use different labs for porcelain, each with different ceramists.
If a porcelain veneer breaks, chips, or needs to be replaced, you’re constrained to returning to that specific dentist, using that lab, and matching the same veneer brand to maintain consistency.
But with composites, you can visit any dentist skilled in composite resin bonding for repairs at any time, as they all have the materials on hand to match your teeth directly.
This crucial information is often not disclosed by dentists, who prefer to keep patients within their practice. It’s an aspect patients need to consider carefully.
Composite vs. Porcelain Veneers: Staining and Aesthetic Differences
When comparing composite and porcelain veneers regarding staining, it’s essential to note that traditional composite veneers tend to mimic the staining behavior of natural teeth, contributing to a more authentic appearance.

Additionally, any minor staining on composite veneers can often be buffed out by the dentist with ease, maintaining their natural look.
Considering that natural teeth also stain, having enhancements that behave similarly can be desirable. Moreover, advancements in enhanced composite veneer materials have led to the development of anti-stain resistant options, a significant improvement from years past if requested.
Don’t be fooled. Porcelain veneers are often advertised as stain proof because porcelain is nonporous, but the truth is they can and do stain, especially once the protective glaze wears off. Without that glaze, the surface becomes vulnerable to discoloration from everyday foods and drinks.
While porcelain may look better in studio photos, in real life they often appear overly glossy or fake, contributing to a Hollywood-inspired look that may not appeal to everyone.
Cost-Effectiveness (Composite vs Porcelain Veneers Price), Procedure and Convenience
When it comes to cost, composite veneers offer a significant advantage over porcelain.
With prices ranging from $400 to $600 per tooth, they are more budget-friendly compared to porcelain veneers, which can cost anywhere from $1000 to $3000 per tooth, depending on location and other factors.

Additionally, the process of getting composite veneers is much more convenient. Unlike porcelain laminates, which require multiple visits and adjustments sent to a lab, composite can often be completed in just one visit in the dentist’s office.
This not only saves time but also eliminates the hassle of dealing with temporary veneers during the waiting period.
Overall, composite veneers offer a cost-effective and convenient solution for individuals looking to enhance their smiles.
Durability and Longevity
The commonly held belief is that porcelain veneers last 10-15 years, outlasting the 5-7 years expected of composite veneers. However, a closer examination uncovers complexities in assessing durability.
Patient testimonials and insights from renowned cosmetic dentists demonstrate that modern composite veneers, leveraging advanced technology, can endure for 12-15 years or beyond with adequate maintenance. Quite unexpected, isn’t it?



Direct composites utilize a specialized layering technique for direct bonding to teeth, enhancing adhesion and reducing detachment risks. Unlike porcelain, which lacks this layered bonding process, they are bonded once using cement, lacking the compounded adhesive of composites.
Moreover, porcelain veneers returned from the lab may not achieve a perfect fit. Cosmetic dentists encounter constraints because porcelain is a single piece, unlike the moldable layered technique used in composites. This limitation could contribute to porcelain veneers not lasting as long.

Additionally, porcelain veneers are prone to chipping, requiring the fabrication of a completely new veneer and leaving a period without veneers. Conversely, composite resin can be swiftly repaired in one visit, resolving the issue promptly.
Lastly, advancements in composite veneer technology, such as nanofilled composites and hybrid layering techniques, have significantly enhanced their durability and longevity, effectively closing the gap with porcelain veneers.
The notion that enhanced composite veneers last only 5-7 years is outdated; the reality is different. While porcelain veneers have long been praised for their longevity, the practical benefits and improved durability of composite veneers increasingly position them as superior for individuals seeking smile enhancement.
Enhanced composite resin veneers by Dr. Marshall Hanson and Dr. Jordan Davis have been lasting 10-15 years or more, with the added benefit of being repairable rather than requiring full replacement when needed.
Natural Feeling in the Mouth
Composite veneers seamlessly blend with adjacent teeth, providing a more natural sensation in the mouth. The smooth texture on the backside, owing to the layering technique during bonding, enhances the tactile experience.
In contrast, porcelain veneers extend below and behind the teeth, resulting in a noticeable ridge felt when the tongue glides along the inner surface. Patients often describe this sensation as uncomfortable, with some feeling like it doesn’t belong or experiencing their lower lip catching on the upper veneers when smiling.

With less than 1% of dentists having porcelain veneers themselves, they lack firsthand experience with this issue while veneer companies may withhold this information to avoid deterring patients from choosing porcelain and hurting their bottom line.
Contrary to common perception, obtaining uniform results with porcelain veneers often requires applying them to numerous teeth for optimal integration, with most dentists recommending 8 or more. Conversely, composites offer adaptability, functioning effectively for single teeth or entire sets.
Conclusion: Composite versus Porcelain
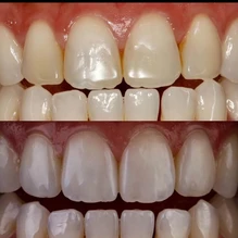
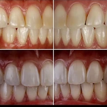
Many have expressed how composite veneers have transformed their smiles and boosted their confidence, sharing success stories that serve as powerful testimonials.
The before-and-after photos they provide offer visual proof of composite veneers’ effectiveness in enhancing smiles.

While porcelain veneers may dominate your social media feed, the real treasure lies in composite veneers.
Composites present a compelling option for smile enhancements, offering durability, natural aesthetics, affordability, and ease of maintenance. They challenge traditional norms and provide practical solutions for smile makeovers.
Despite the advantages of composite veneers, many cosmetic dentists still tend to go with porcelain veneers.
This inclination could be influenced by the marketing efforts of veneer manufacturers, who strategically use the term “veneer” to make the concept more appealing.

Essentially, veneers are similar to caps, differing mainly in the extent to which they cover the back of the tooth.
This raises the question:
Why do individuals opt for veneers over caps, despite their similarities?
Conversely, dentists may prefer providing porcelain veneers for their quick application, the high demand fueled by Hollywood, and the potential profitability from future replacements. However, the definitive reason remains unclear.
What is clear is that a new wave of cosmetic dentists are emerging, advocating for non-invasive aesthetic dental procedures that do not involve tooth removal.
You can locate these dentists on social media platforms like Instagram and TikTok. Don’t hesitate to reach out, ask questions, and seek clarification on the subjects covered here. It’s crucial to challenge them and ensure accountability for their practices.
Nonetheless, at BeautyBeyondVeneers, we advocate for non-invasive and reversible aesthetic procedures that preserve natural tooth structure without requiring any tooth removal.
The verdict is in your hands: when it comes to enhancing your smile, will you choose porcelain or composite?
Disclaimer: This content is for informational purposes only and does not constitute medical or dental advice. Always consult with a licensed dental professional before making decisions about your oral health.